
審美とは?
美しさを見分けることをいいます。歯科で使う審美とは、健康の上、さらに自然に、そして調和のとれた状態にしていくことをいいます。
昔なら前歯に金冠【きんかん】(歯全体に被せる、金で作った被せ物)を被せた治療がステイタスであったのではないでしょうか。ところが現在では、より天然の歯に近く、しかも歯並びも良くしたいという感覚になってきています。
歯を削り見栄えを良くしても、それは本当の審美とはいえないのではないでしょうか。なぜならば、天然の歯に敵う【かなう】(匹敵する)ものなどないと思うからです。また、基本的な治療(虫歯、歯周病治療など)を疎か【おろそか】にすれば、お口の中が健康な状態とはいえなくなり、結局は歯が無くなってしまうでしょう。
私の考える審美は、まず歯やお口の中が健康でなくてはならないと思います。その上で自然観を求めていくことが良いでしょう。
そして、患者様のお口を通して、健康と幸福のお手伝いができたらと考えております。
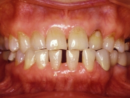
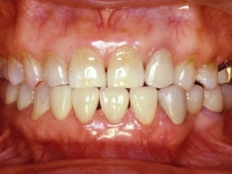
ラミネートベニアによる治療例
歯のエナメル質をわずかに削り、セラミックシェル(板状の陶器)をつけて、爪のように貼りつけます。
治療結果は、患者様によって個人差があります。

治療前

治療後